
Hút thuốc sẽ làm biến đổi da, răng, tóc và những bộ phận khác của cơ thể để tạo ra vẻ ngoài già hơn so với tuổi thực. Nó cũng tác động tới những bộ phận ẩn sâu trong cơ thể, từ khả năng sinh sản đến sức khỏe tim mạch, phổi và hệ xương.
Tổn thương răng lợi
![]() |
Vàng răng là một trong những tác động điển hình của việc hút thuốc lá lâu. Những tổn thương của răng không chỉ dừng ở đây.
Những người hút thuốc có xu hướng mắc các bệnh nướu răng, hơi thở hôi và các vấn đề vệ sinh răng miệng khác.
Người hút thuốc có nguy cơ mất răng cao gấp 2 lần so với người không hút thuốc.
Rụng Tóc
![]() |
Cả nam và nữ đều có xu hướng bị tóc thưa mỏng hơn khi có tuổi và hút thuốc có thể làm tăng tốc quá trình này.
Các nhà nghiên cứu tại Đài Loan đã xác định được rằng hút thuốc như là một yếu tố nguy cơ rõ ràng gây hói đầu ở đàn ông châu Á.
Đục thủy tinh thể
![]() |
Thậm chí ngay cả đôi mắt cũng dễ bị tổn thương khi tiếp xúc với thuốc lá.
Hút thuốc làm tăng nguy cơ bị đục thủy tinh thể khi lớn tuổi. Đây là những vùng mây trên thủy tinh thể vốn giữ ánh sáng đến từ võng mạc. Thường bác sĩ chỉ định phẫu thuật nếu bệnh ảnh hưởng lớn tới thị lực.
Dễ gãy xương
![]() |
Mọi người đều tin thuốc lá tấn công lá phổi đầu tiên nhưng các nghiên cứu cho thấy 1 thực tế đáng ngạc nhiên là thuốc lá lại tác động tới cơ thể bắt đầu từ hệ xương. Hút thuốc làm tăng nguy cơ yếu xương hay loãng xương và hậu quả là dẫn tới cong vẹo cột sống.
Bệnh tim và rối loạn tình dục
![]() |
Hút thuốc ảnh hưởng đến gần như mọi cơ quan trong cơ thể, bao gồm cả trái tim. Ở những người hút thuốc lá, các động mạch mang máu tới tim bị thu hẹp theo thời gian. Hút thuốc cũng làm tăng huyết áp và các cục máu đông dễ hình thành. Hậu quả là dễ gây ra các cơn đột quỵ hay nhồi máu cơ tim.
Ở nam giới, hút thuốc lá nhiều sẽ làm giảm lưu lượng máu tới “cậu nhỏ” có thể dẫn đến rối loạn chức năng cương dương.
Giảm khả năng tập luyện
Tác động tới tim, phổi của thuốc lá có thể gây bất lợi cho bất kỳ việc tham gia hoạt động nào.
Nhịp tim của người hút thuốc có xu hướng nhanh hơn, lưu thông máu kém và khó thở hơn - không phù hợp với hoạt động luyện tập thể dục thể thao.
Các vấn đề về sinh sản
Phụ nữ hút thuốc trong 1 thời gian nhất định sẽ khó mang thai cũng như sinh 1 đứa trẻ khỏe mạnh vì các chất độc trong thuốc sẽ làm tăng nguy cơ khó thụ thai, dễ sẩy thai hay sinh trẻ nhẹ cân.
Mãn kinh sớm
Mọi phụ nữ đều trải qua thời kỳ mãn kinh, giai đoạn kích thích tố nữ giảm và chu kỳ kinh nguyệt ngừng hẳn. Hầu hết phụ nữ đều trải nghiệm sự thay đổi này ở tuổi 50 nhưng những người hút thuốc sẽ mãn kinh sớm hơn, trung bình là 1,5 năm so với phụ nữ không hút thuốc.
Tác động này rõ rệt nhất ở những phụ nữ hút thuốc nhiều năm.
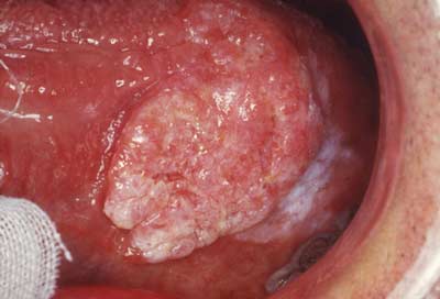
Ung thư miệng
![]() |
So với người không hút thuốc, người hút thuốc có nguy cơ ung thư miệng cao gấp 6 lần. Những người nhai thuốc lá hoặc sử dụng sản phẩm thuốc lá không khói khác có nguy cơ cao gấp 50 lần.
Các triệu chứng phổ biến nhất của bệnh gồm một tổn thương hay biểu hiện khác lạ trên lưỡi, môi, nướu răng, hoặc khu vực khác bên trong miệng mà không khỏi hoặc không gây đau.
Ung thư phổi
![]() |
Ung thư phổi là kẻ giết người hàng đầu của nam giới và phụ nữ ở Mỹ trong số các bệnh ung thư.
Trong số những người chết vì căn bệnh này, 9 trong số 10 ca tử vong là do hút thuốc lá. Thuốc lá cũng có thể gây tổn thương phổi nhẹ hơn như gây khó thở và các viêm nhiễm nặng như viêm phổi.
Theo www.dantri.com.vn
CÔNG TY TNHH PKĐK ĐI CỜ LI NÍT
Địa chỉ: 225 Lê Thánh Tôn, P. Bến Thành, Q.1, TP.HCM
Tel : 0399 777 888







