Trang Chủ
        
                	TƯ VẤN ĐIỀU TRỊ C BẰNG THUỐC MỚI NHẤT (DẠNG KẾT HỢP)               
                
                	* THUỐC UỐNG THẾ HỆ MỚI * HIỆU QUẢ CAO * KHÔNG TÁC DỤNG PHỤ 
* CHI PHÍ THẤP * THỜI GIAN NGẮN * KHÔNG CHÍCH THUỐC
              
                
          
                                        Hiểm hoạ biến chứng thần kinh do đái tháo đường (16/11/2012)
                    Biến chứng thần kinh có thể xảy ra ở bệnh nhân đái tháo...
Chi tiết
                                        Tử vong vì giun xoắn do ăn thịt thú rừng (16/11/2012)
                    Có những người chết không biết lý do vì thưởng thức đặc sản...
Chi tiết
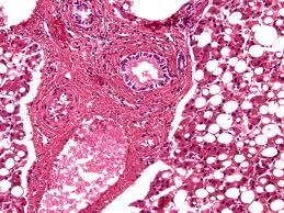
                                        Bị gan nhiễm mỡ, nguy cơ đột quỵ tăng 3 lần (17/10/2012)
                    Những người bị gan nhiễm mỡ có nguy cơ bị đột quỵ gấp 3 lần...
Chi tiết
                                        Dùng thuốc điều trị viêm khớp cùng chậu (12/10/2012)
                    Viêm khớp cùng chậu là một bệnh khớp viêm...
Chi tiết
                                        Ăn chung mâm có lây bệnh đau dạ dày...(02/10/2012)
                    Bởi vì nhiễm HP không có biểu hiện lâm sàng...
Chi tiết
                                        Ăn nhiều canxi có làm to sỏi mật?  (24/09/2012)
                    Tôi bị sỏi túi mật 11mm. Nếu ăn thức ăn giàu canxi...
Chi tiết
                	KẾT NỐI NHANH
            
              
              
              
               
            Get the Flash Player to see this player.
                            
                            
                        
                	D-Clinic
              
            CÔNG TY TNHH PKĐK ĐI CỜ LI NÍT
Địa chỉ: 225 Lê Thánh Tôn, P. Bến Thành, Q.1, TP.HCM
Tel      : 0399 777 888 
          
                